Of Hearts and Minds

 

The Story of the Bogalusa Heart Study

In a small, rural town in the southeastern corner of Louisiana, an unprecedented research study was born. 

The landmark Bogalusa Heart Study, named for the town in which it originated, was one of the first long-term studies to track the health outcomes of people from childhood all the way through adulthood. Now, nearly 50 years after it began, the rich dataset reveals that health experiences early in life might impact health outcomes across the lifespan.

Owen Carmichael reviews a brain scan with a graduate student

Owen Carmichael, director of the Biomedical Imaging Center at LSU’s Pennington Biomedical Research Center, and LSU alumna Krystal Kirby review a scan.

– Credit: LSU Pennington Biomedical Research Center

“It’s possible that what happens to us in childhood ripples forward to middle age in ways we don’t usually think about,” said Owen Carmichael, director of the Biomedical Imaging Center at LSU’s Pennington Biomedical Research Center. He is one of the scientists using the lifetime of data produced by the Bogalusa Heart Study to examine health impacts later in life.

Carmichael is focusing on how our health in childhood can influence our health in middle age, especially when it comes to our brains. For Carmichael, his interest in the influence of early health experiences on cognitive function is personal.

“My grandfather died of Alzheimer’s disease when I was a kid. He had the classic case of Alzheimer’s disease, which meant a slow and steady deterioration over the course of a decade,” Carmichael said. “I got to observe that, in a painstaking way, and see what kind of an effect that has on family and friends. That’s what really pushed me into Alzheimer’s disease research in general.”

Motivated by this personal experience with Alzheimer’s disease, Carmichael connected with Dr. Lydia Bazzano, a researcher at Tulane University who has been involved with the current iteration of the historic Bogalusa Heart Study since 2010 as the study’s principal investigator. By connecting with this study, Carmichael is about to advance the rich history of patient data collected over the lifespans of the study’s participants. With the study participants now middle-aged, when any cognitive impairment may be starting to appear, they could hold the key that unlocks the connection between childhood and adult health using an unusual connection: blood glucose levels.

“Research suggests people who have diabetes in middle age have a higher risk of Alzheimer’s and other signs of poor brain health late in life,” Carmichael said. “The question we haven’t been able to answer until we started looking at data in the Bogalusa Heart Study was how far back in your life does high blood sugar start to have an effect on brain health.”

Dr. Gerald Berenson portrait

LSU Boyd Professor Dr. Gerald Berenson founded the Bogalusa Heart Study

– Credit: LSU

Under the visionary leadership of the late Dr. Gerald Berenson, a pediatric cardiologist and LSU Boyd Professor, the Bogalusa Heart Study broke new ground in research by recruiting children in the 1970s for this lifespan study. The children underwent full health screenings, such as blood pressure and cholesterol tests, which was unheard of at the time and usually reserved for adults.

“That was really the key step: this researcher being stubborn and sticking to the idea that heart disease and diabetes start, possibly, at a very young age,” Carmichael said. “Dr. Berenson stuck to his guns in the early ’70s by getting these different measurements, which really had been reserved for adults at that time because it was never thought children could show signs of heart disease, diabetes, and so on at such a young age.”

Berenson’s work yields insight into how the warning signs of health issues later in life might actually be evident from the earliest years of childhood. The Bogalusa Heart Study followed and collected the blood pressure and cholesterol levels of the participants at least every two years from childhood through adulthood. Now, most of the participants are in middle age.

Following in Berenson’s groundbreaking footsteps, Carmichael and his collaborators at Tulane University, Mary Bird Perkins Cancer Center, and Pennington Biomedical looked at a subset of now middle-aged Bogalusa Heart Study participants who had elevated but still normal blood glucose levels as children and found that many of them have now developed brain lesions called white matter hyperintensities. These lesions are associated with cognitive decline and other poor health outcomes in much older adults.

“We see these white matter lesions in brain scans of people who are in their 70s, 80s, and 90s, and these are associated with poor outcomes such as Alzheimer’s disease, stroke, and also early mortality,” Carmichael said. “But the conventional wisdom was always that there should be very, very little, close to none, in patients in their 40s and 50s.”

To further investigate this connection, the researchers obtained funding from the National Institutes of Health to expand their study. Using the data acquired through the Bogalusa Heart Study and applying Positron Emission Tomography, or PET, and Magnetic Resonance Imaging, or MRI, brain scans, the new study follows 200 participants from the original study into more advanced age over the next several years.

The Bogalusa Heart Study broke new ground in research by recruiting children in the 1970s.

Sean Gill elementary school picture

Credit: Sean Gill

If the researchers can learn one little thing that will help them save a life, it’s worthwhile to participate in it.

- Sean Gill, Bogalusa Heart Study participant

Participant Sean Gill grew up with the Bogalusa Heart Study. He volunteered in second grade because he thought it would “just be a fun thing to do.” Remarkably, he and hundreds of other child volunteers have stayed with the study their entire lives, and Gill said he plans to remain with it into the future.

The researchers hope this new research will yield insight into treatment plans that could shape the health of children in more promising directions later in life. They are upgrading the data collection tools from what used to be paper-and-pencil mental tests to iPads, which provides more fine-grained data about how people are taking the tests. The participants also now wear accelerometers to see if they are exercising more or less due to the pandemic. Additionally, the researchers are starting to study epigenetic aging, which are like markers of genetic “wear and tear” that accumulate over the lifespan in our genes as well as the gut microbiome from the standpoint of how do the things that occurred in one’s youth culminate in the characteristics of the microbes used to digest food.

For Carmichael, the goal motivating his research is to help mitigate the devastating effects of cognitive decline later in life, especially if more aggressive control of blood glucose levels in childhood might stave off Alzheimer’s disease or other debilitating conditions.

“I’m hoping to set the stage for studies that isolate the people who were resilient to having high blood sugar as kids, to figure out what made them resilient,” Carmichael said. “If we can put that in a bottle, maybe we can find a way to help people overcome the bad things that happened to them in childhood and reverse negative health outcomes later in life.” 

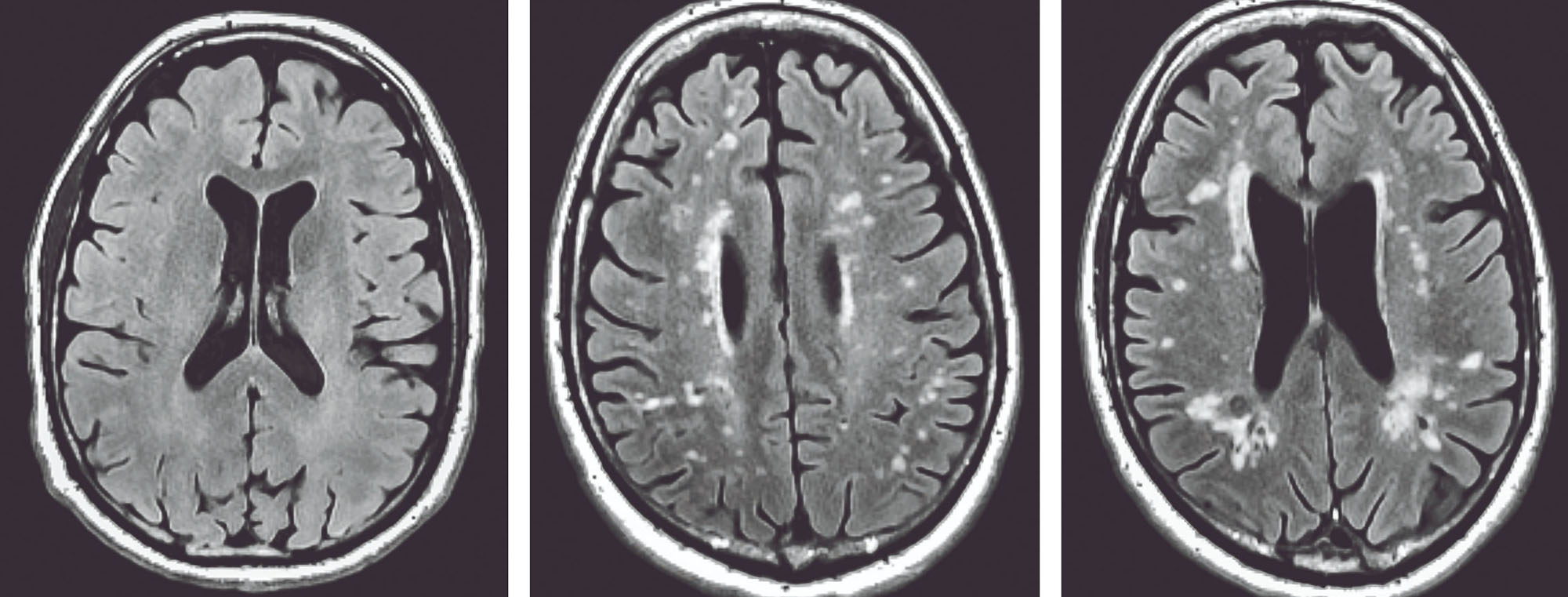
three brain scans

Three Magnetic Resonance Imaging, or MRI, brain scans that show a healthy brain (left) and two with brain lesions called white matter hyperintensities (center and right) common in people in their 70s or older. These lesions, however, are less common for people in their 50s, the age of the study participants. People with more of these lesions are more likely to experience a number of health issues, from Alzheimer’s disease and stroke to falls and Parkinson’s disease.

– Credit: Owen Carmichael, LSU Pennington Biomedical Research Center